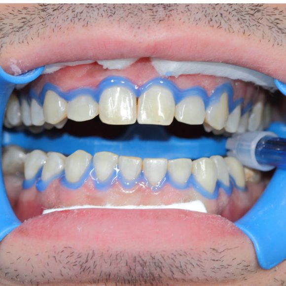
Anche l’occhio vuole la sua parte. Allo Studio dentistico Casilli lo sappiamo bene! Scegliendo di sottoporvi a uno sbiancamento dei denti, il vostro sorriso diventerà più sano e luminoso. Come per ogni servizio, anche quando si tratta di estetica dentale lo Studio Casilli non si smentisce sula tecnologia e la professionalità. Per eseguire uno sbiancamento dei denti utilizziamo il sistema Blanc One, che si avvale di un bassissimo dosaggio di perossido, il quale ci permette di intervenire sul colore del dente senza intaccarne lo smalto.
Qualora si presentino abrasioni o macchie sulla parte anteriore della dentatura, usiamo faccette certificate Compooner e faccette Luminers, posate sul dente attraverso una resina specifica, senza trattamenti invasivi. Questo metodo ci permette, un’altra volta, di curare l’estetica dei vostri denti senza necessità di limarne la superficie, riducendola. Rivolgersi allo Studio Casilli per uno sbiancamento dei denti o per qualsiasi altro servizio di cura ed estetica dentale significa dedicare un momento a se stessi, alla propria salute, nelle mani certe di professionisti qualificati.
Presso il nostro studio potrete ricevere un trattamento estetico di sbiancamento dei denti a un costo accessibile, per quanto adeguato alle tecnologie messe in campo. Allo stesso modo in cui la prevenzione e la cura dentale non sono da trascurare, comprendiamo anche il valore dell’estetica e di quanto sia bello poter esibire il nostro sorriso con orgoglio.
Non avete mai provato un trattamento estetico dedicato ai vostri denti? Perché non cominciare adesso? Affidandovi allo Studio Casilli avrete la professionalità dei migliori esperti in odontoiatria unita all’avanguardia negli strumenti e nei metodi. Contattateci per ricevere ulteriori dettagli sullo sbiancamento dei denti, sul costo del trattamento, sulle condizioni in cui effettuarlo.


